Why adults do not run with pups!
One of the most common ways to obtain an injury in a young puppy up to 9 months, is to let it run against older dogs, which are both faster more agile and heavier. One collision spells serious trouble between a 3 months old and an adult.
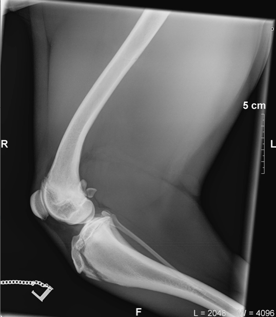
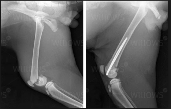
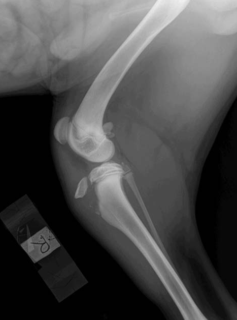
Please look below at all these x-rays from last years random friend’s injuries ( and these are without even searching as these happen all the time). If it is not a growth plate , it is a neck, back, wrist, hock, ribs or any large bones for that matter. One of the most common example is when a small piece of the knee joint splits, which end up in a 2-3000€ surgery. I do not see much point in taking such a huge risk, so don’t run adults and pups! Period!
You are free to make the decisions for yourself, but better yet find 2-5 pups of similar ages up to 4-8 weeks apart and have just as much fun. Alternatively a kelpie, sheltie or smaller poodles type dogs can be fast enough and just at the right size.
Here is the proof! More info after the pictures!









Fractures Involving Growth Plates
Article Written by Dr. Daniel A. Degner, Board-certified Veterinary Surgeon (DACVS)
Key PointsThe growth plates are much softer than other regions of the bones, therefore are more prone to injury
Since most of the longitudinal growth of bones occurs up to eight months of age, growth plate injuries that occur after this point are not as devastating
A portion of the damaged growth plate may remain functional (open) and thus the bone and limb becomes twisted
Surgery is generally done as soon as possible after this type of injury occurs
Anatomy • Dogs and cats under one year of age have growth plates, which are located near the ends of the bones of the limbs.
• Growth plates are responsible for growth of the bones.
• The growth plates are much softer than other regions of the bones, therefore are more prone to injury.
• Growth plates normally fuse or close down as the pet matures.
• Most of the pet’s growth occurs during four to eight months of age.
• After eight months of age, little longitudinal growth of bones occurs.
• Usually by one year of age the growth plates are closed and are not visible on x-rays.
Growth plate injury • Since most of the longitudinal growth of bones occurs up to eight months of age, growth plate injuries that occur after this point are not as devastating.
• The growth plate is a weak link in the bone construct, therefore it is more susceptible to injury.
• A Salter-Harris classification of growth plate fracture has been described in humans and seems to relate to prognosis. Type 1 has the best prognosis and type 5 having the worst.
• In pets the Salter-Harris classification also may relate to the final prognosis, but the age at which the fracture occurs tends to be a significant factor.
• The diagrams below show the different type of fractures (the blue line represents the soft growth plate tissue, the red line represents the fracture line, and the speckled red line is a crushed growth plate).
Common locations of the various Salter-Harris growth plate fractures in dogs and cats • Type1 – hip joint (slipped femoral capitis), knee (distal femur)
• Type 2 – knee (distal femur)
• Type 3 – elbow (distal humerus)
• Type 4 – elbow (distal humerus)
• Type 5 – 1. wrist or carpus (distal ulna or the distal radius less commonly), this results in an angular limb deformity); 2. ankle or hock (distal tibia)

Results of growth plate fracture • Growth plate becomes nonfunctional in many cases and the final length of the bone may be shorter than normal
• If the final length of the bone is not 20 to 25% shorter than the normal bone, the pet likely will not have a noticeable gait abnormally when walking or running, since dogs and cats walk in a semi-crouched position (versus man walks with the legs straighter)
• A portion of the growth plate may remain functional (open) and thus the bone and limb becomes twisted
• In the front limb where the bones are paired (radius and ulna) the limb may become twisted at the wrist (carpus)
Surgery • Surgery is generally done as soon as possible after this type of injury occurs.
• Generally pins are used to repair these types of fractures if a type 1 or 2 fracture occurs.
• Type 3 and 4 may need a screw and pin placed. If the joint surface has been directly violated as in a type 3 or 4 fracture the joint should only be immobilized with a bandage or splint/cast for a very short period of time. Prolonged splinting of a limb that has had a repaired joint fracture could lead to permanent stiffness of the joint.
• The elbow and knee seem to be the most common regions to have problems if immobilized for too long (get scar tissue and joint becomes very stiff).
Aftercare • Minimal immobilization
• Bandage care
• Early rehabilitation therapy involves putting the joint through a range of motion and hot packing the area.
• Restrict excessive activity (usually limit to house activity)
Complications • Anesthetic death
• Shortened limb length
• Functional gait abnormality
• Twisted limb/paw
• Infection
• Arthritis of the joint due to abnormal development of a poorly fitting joint
• Non-healing of the fracture site